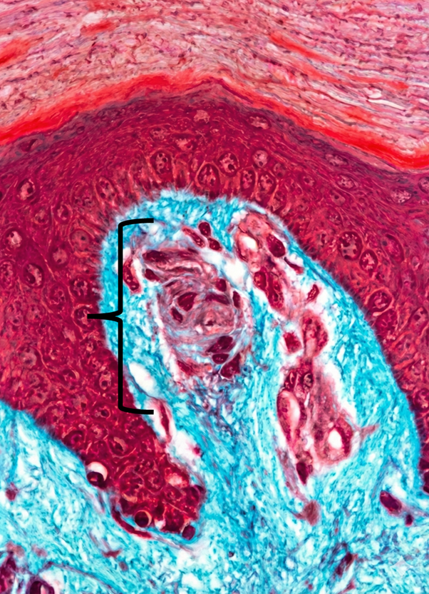
2.74 Das vorliegende histologische Schnittpräparat zeigt ein Hautareal in Azan-Färbung. Im markierten Bereich ist eine spezialisierte, ovale Struktur erkennbar. Um welche anatomische Struktur handelt es sich

Antwortmöglichkeiten
- (A) Vater-Pacini-Körperchen
- (B) Meissner-Tastkörperchen
- (C) Ausführungsgang einer ekkrinen Schweißdrüse
- (D) Ruffini-Körperchen
- (E) Haarfollikel