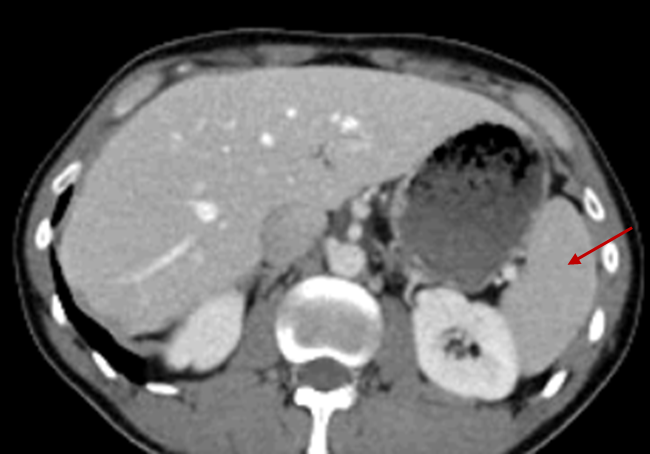
2.148 Der rote Pfeil markiert im folgenden CT-Thorax ein Organ. Welche Aussage zu diesem Organ stimmt zu?

Antwortmöglichkeiten
- (A) In seinem Inneren findet die Bildung von Albumin und Gerinnungsfaktoren statt.
- (B) Seine venöse Drainage erfolgt primär über die Vena renalis direkt in die Vena cava inferior.
- (C) Es ist ein lymphatisches Organ, in dessen roter Pulpa die Aussonderung alter Erythrozyten erfolgt
- (D) Es besitzt eine Curvatura major, an der das Omentum majus befestigt ist.
- (E) Es verfügt über endokrine Zellansammlungen, die für die Regulation des Blutdrucks relevant sind