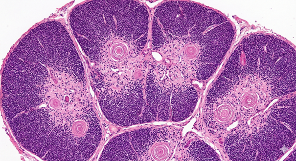
2.67 Bei der folgenden Abbildung handelt es sich um histologisches Präperat aus dem lymphatischen Organsystem. Welches Organ wird hier dargestellt?

Antwortmöglichkeiten
- (A) Lymphknoten
- (B) Thymus
- (C) Tonsilla pharyngea
- (D) Milz
- (E) Lymphfollikel aus dem Gastrointestinal Trakt