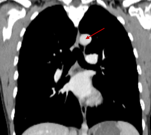
2.147 Zu sehen ist ein CT-Thorax. Welche der folgenden Strukturen wird hier mit dem roten Pfeil dargestellt?

Antwortmöglichkeiten
- (A) Trachea
- (B) Lymphknoten des Mediastinums
- (C) Angeschnitten der linke Lappen des Thymus
- (D) Aorta
- (E) V. Subclavia
2.147 Zu sehen ist ein CT-Thorax. Welche der folgenden Strukturen wird hier mit dem roten Pfeil dargestellt?
