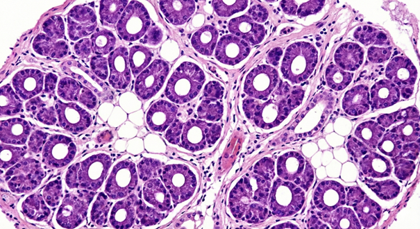
2.73 Die folgende Abbildung zeigt ein histologisches Präparat? Welches Organ ist hier zu erkennen, anhand des weiten Tubuluslumen?

Antwortmöglichkeiten
- (A) Glandula Parotis
- (B) Exokrine Pankreas
- (C) Laktierende Mama
- (D) Glandula Submandubularis
- (E) Glandula Lacrimalis