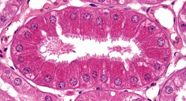
2.72 Welche Struktur des Nierenparenchyms ist in der vorliegenden Abbildung im Querschnitt dargestellt?

Antwortmöglichkeiten
- (A) Ductus papillares
- (B) Proximaler Tubulus
- (C) Distaler Tubulus
- (D) Sammelrohr
- (E) Dünner Teil Henle-Schleife
2.72 Welche Struktur des Nierenparenchyms ist in der vorliegenden Abbildung im Querschnitt dargestellt?
