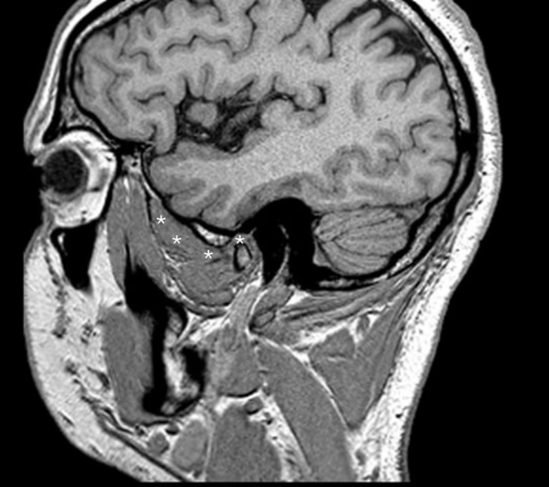
2.104 In der Abbildung zeigt sich ein MRT-Schädel in Sagittaler Rekonstruktion. Mit Sternen markiert ist ein Muskel. Um welchen Muskel handelt es sich?

Antwortmöglichkeiten
- (A) M. masseter
- (B) M. temporalis
- (C) M. pterygoideus medialis
- (D) M. pterygoideus lateralis
- (E) M. buccalis