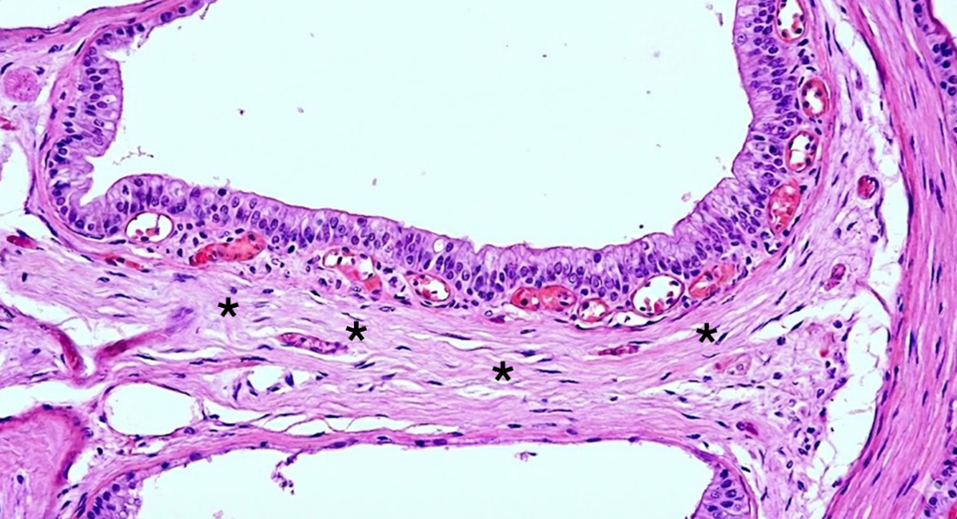
2.114 In der histologischen Abbildung ist eine Schicht zu erkennen, die der knöchernen Wand der Schnecke direkt anliegt. Auf welche Struktur wird hier mit einem schwarzen Stern verwiesen?

Antwortmöglichkeiten
- (A) Lig. spirale
- (B) Stria vascularis
- (C) Membrana vestibularis
- (D) Organon spirale
- (E) Limbus spiralis