Zurück
Aufgabe 2-71
231 / 320
Weiter

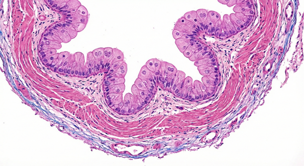
2.71 Folgende Histologische Abbildung zeigt den Querschnitt eines Hohlorgans. Um welches handelt es sich?

Antwortmöglichkeiten

  • (A) Ureter
  • (B) Urethra
  • (C) Tuba uterina
  • (D) Ductus defferens
  • (E) Ösophagus
Zurück
Aufgabe 2-71
231 / 320
Weiter