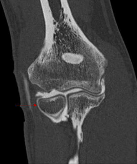
2.125 Die in der folgenden Abbildung mit einem Pfeil markierte Stelle...

Antwortmöglichkeiten
- (A) Besitzt eine Gelenkfläche, die vollständig mit hyalinem Knorpel überzogen ist
- (B) Bildet zusammen mit der Ulna ein funktionelles Eigelenk
- (C) Liegt innerhalb der Kapsel des Articulatio humeroradialis
- (D) Ist der Ursprung für die oberflächliche Gruppe der Extensoren des Unterarms
- (E) Wird typischerweise durch das Lig. Anulare radii umfasst