Zurück
Aufgabe 2-126
286 / 320
Weiter

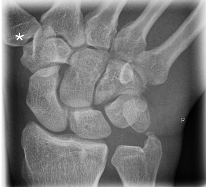
2.126 Welcher Gelenktyp gehört das mit einem Stern markierte Gelenk in der folgenden Abbildung?

Antwortmöglichkeiten

  • (A) Kugelgelenk
  • (B) Radgelenk
  • (C) Sattelgelenk
  • (D) Zylindergelenk
  • (E) Eigelenk
Zurück
Aufgabe 2-126
286 / 320
Weiter