Zurück
Aufgabe 2-66
226 / 320
Weiter

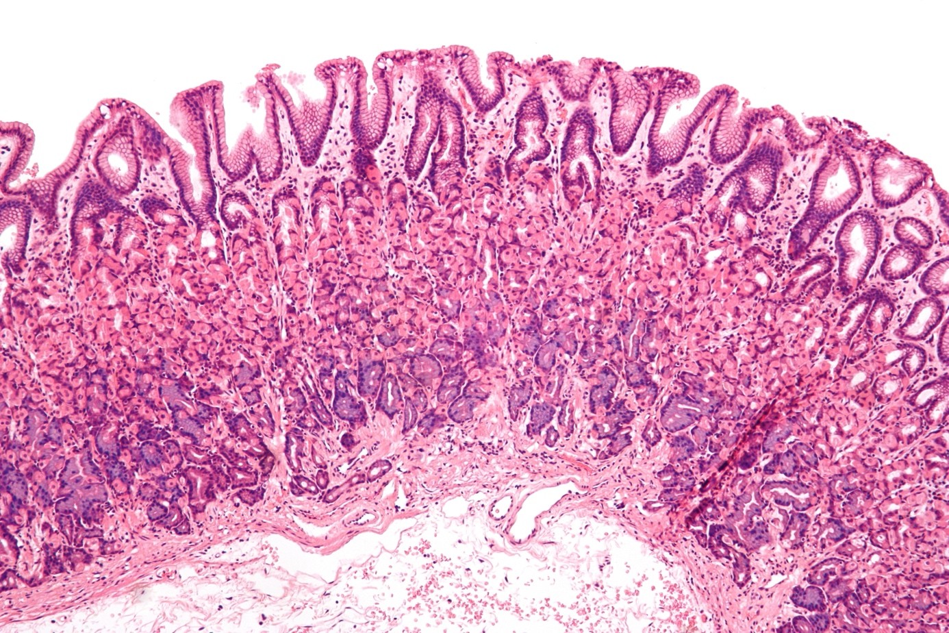
2.66 Aus welchem der folgenden Organe zeigt die Abbildung einen Histologischen-Ausschnitt

Antwortmöglichkeiten

  • (A) Duodenum
  • (B) Magen
  • (C) Nebennierenmark
  • (D) Ovar
  • (E) Samenleiter
Zurück
Aufgabe 2-66
226 / 320
Weiter