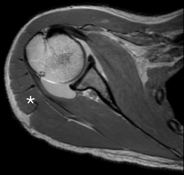
2.128 Welcher der folgenden Nerven trägt typischerweise zu der Innervation mit dem Stern markierten Muskel bei?

Antwortmöglichkeiten
- (A) N. suprascapularis
- (B) N. thoracodorsalis
- (C) N. axillaris
- (D) N. musculocutaneus
- (E) N. radialis
2.128 Welcher der folgenden Nerven trägt typischerweise zu der Innervation mit dem Stern markierten Muskel bei?
