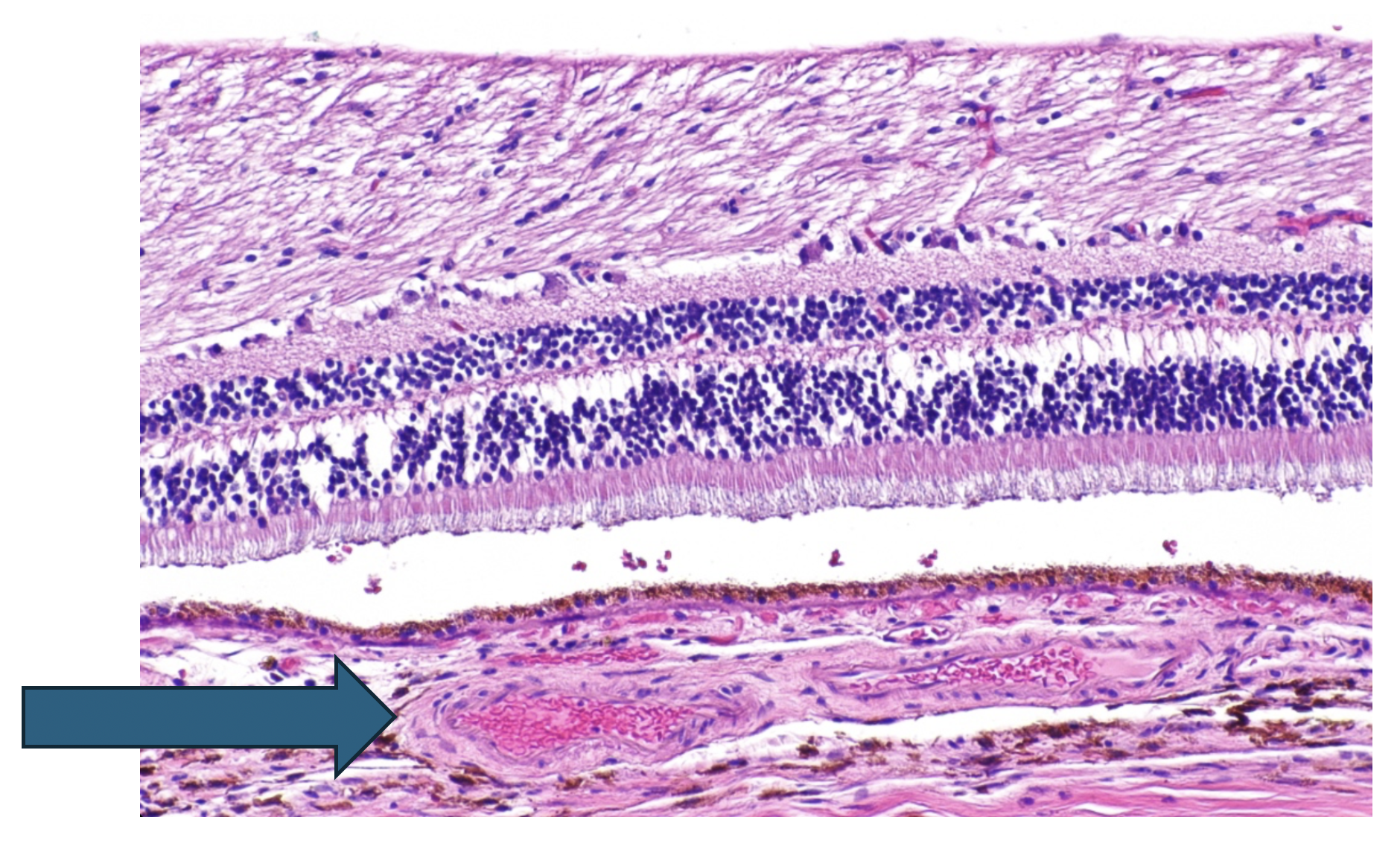
2.92 Im folgenden abgebildet ist ein histologisches Präparat aus dem Auge.

Welche Schicht ist mit dem blauen Pfeil markiert?
Antwortmöglichkeiten
- (A) Nervenfaserschicht Retina
- (B) Innere Körnerschicht Retina
- (C) Pigmentepithel
- (D) Choroidea
- (E) Sklera