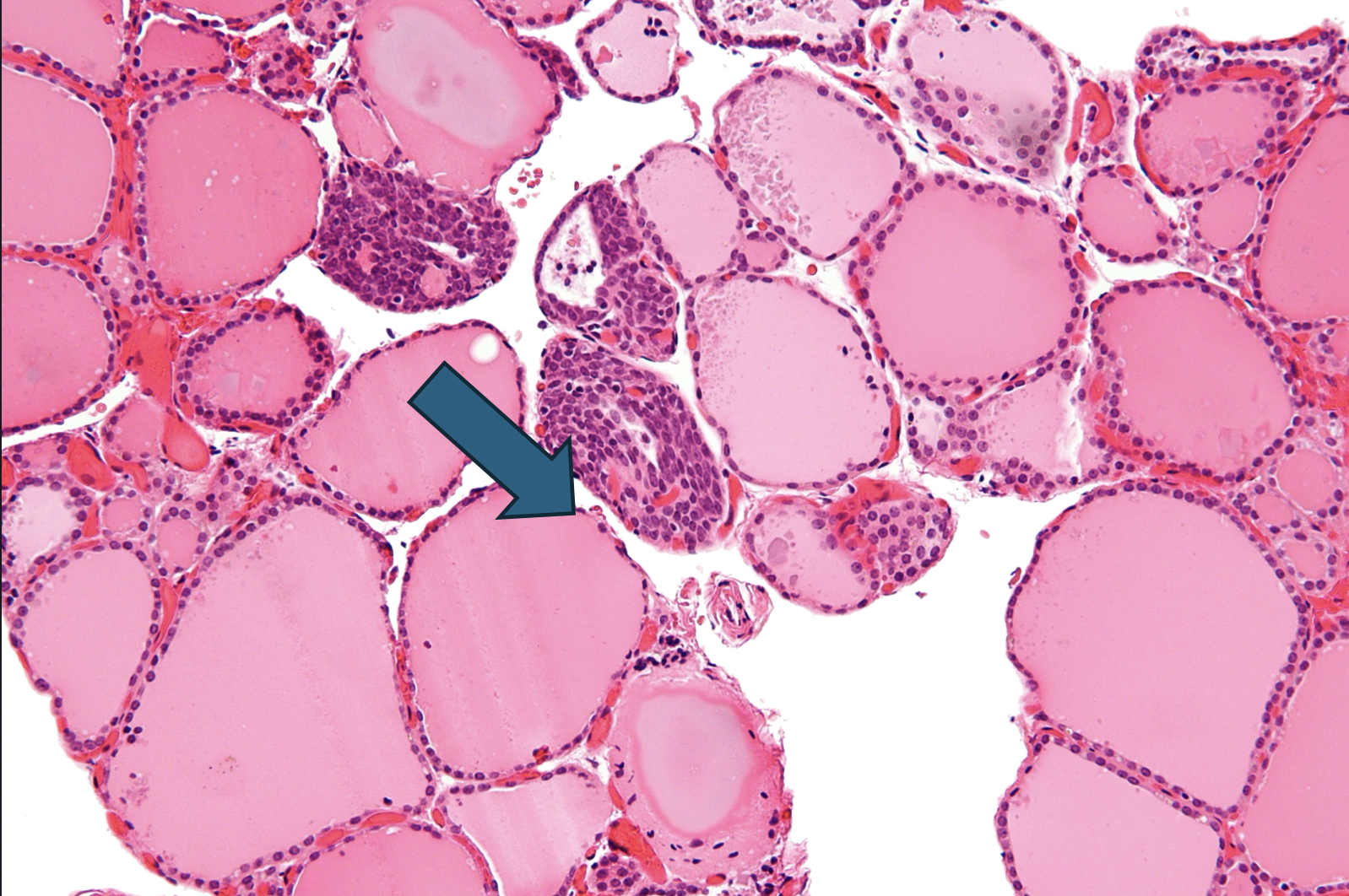
2.77 Das dargestellte histologische Bild zeigt markierte Zellstrukturen in einer Drüse.

Welche funktionelle Eigenschaft ist diesen Zellen zuzuordnen?
Antwortmöglichkeiten
- (A) Sie sorgen für den Import von Iodid in das Lumen.
- (B) Sie sezernieren ein Hormon für den Calciumhaushalt.
- (C) Sie bilden Talg, welches sie an die Hautoberfläche sezernieren.
- (D) Sie bilden Sekret, welches in den Mundraum sezerniert wird.
- (E) Sie bilden Adrenalin, welches endokrin in die Blutbahn ausgeschüttet wird.