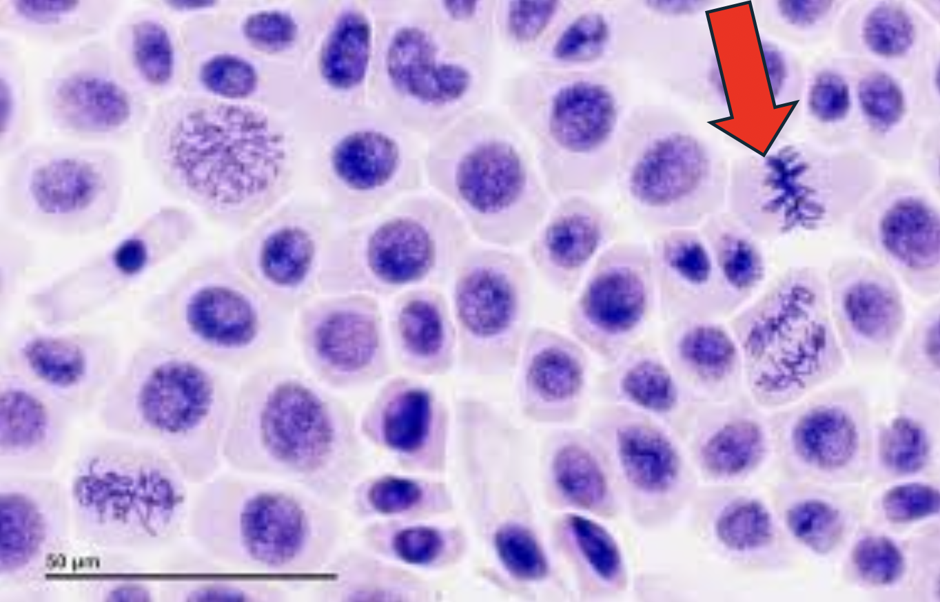
2.9 Das lichtmikroskopische Präparat zeigt Zellkernteilungen in unterschiedlichen Abschnitten. Welchem Stadium des Zellzyklus ist die durch einen Pfeil markierte Zelle am plausibelsten zuzuordnen?

Antwortmöglichkeiten
- (A) Ende der Prophase
- (B) Anfang der Telophase
- (C) Anfang der Anaphase
- (D) Ende der Metaphase
- (E) Ende der Zytokinese