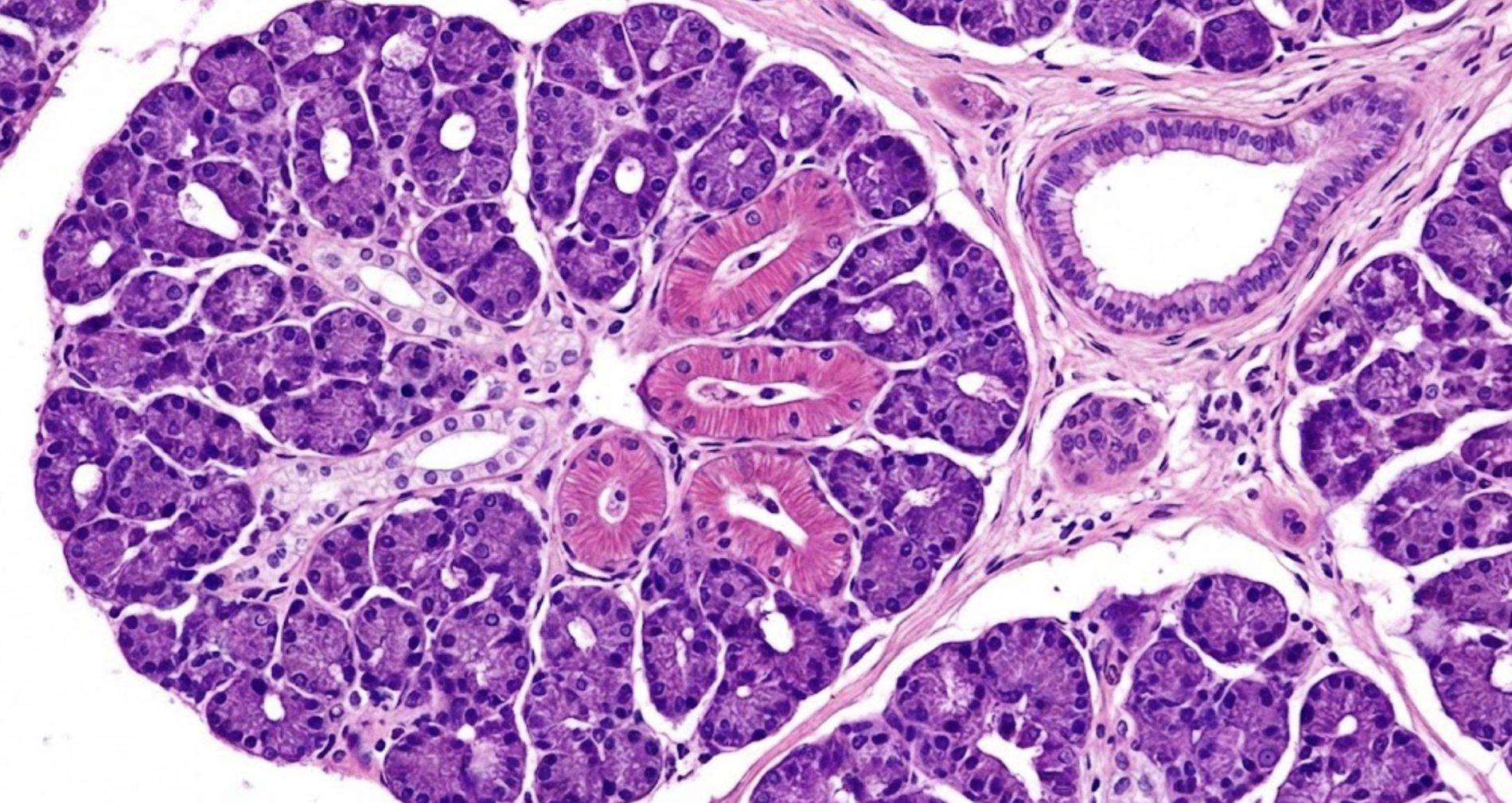
2.34 Das abgebildete Präparat zeigt einen typischen Querschnitt durch das Gewebe eines Organs. Um welche der folgenden Drüsen handelt es sich?

Antwortmöglichkeiten
- (A) Glandula thyroidea
- (B) Glandula parotidea
- (C) Glandulae suprarenales
- (D) Glandula pancreatica
- (E) Glandula pituitaria