Zurück
Aufgabe 2-30
186 / 315
Weiter

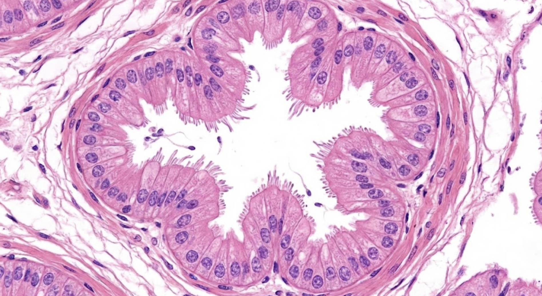
2.30 Welches Element zeigt das rote Symbol in der histologischen Aufnahme (Hämatoxylin-Eosin-Färbung)?

Antwortmöglichkeiten

  • (A) Lungenvene
  • (B) Alveolarraum
  • (C) Arteriolenkapillarwand
  • (D) Ductulus efferens
  • (E) Alveolärduktus
Zurück
Aufgabe 2-30
186 / 315
Weiter