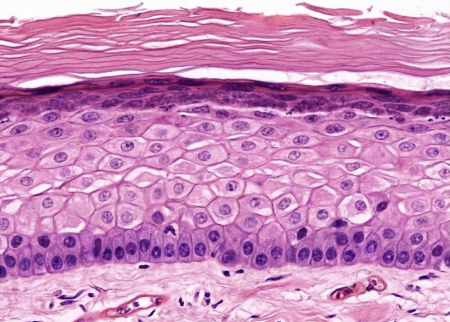
2.33 Die Abbildung zeigt einen Ausschnitt aus einem histologischen Präparat. In welcher der dargestellten Schichten befinden sich die Melanozyten am häufigsten?

Antwortmöglichkeiten
- (A) Stratum basale
- (B) Stratum Lucidum
- (C) Stratum Granulosum
- (D) Stratum Spinosum
- (E) Stratum Basale