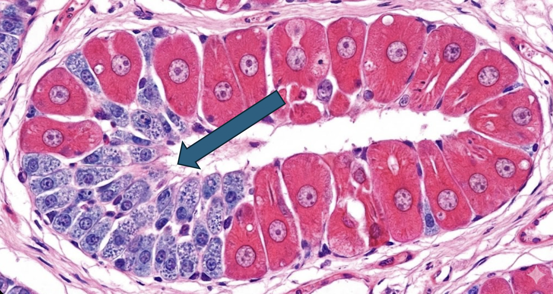
2.31 In der Abbildung sind bestimmte Zellen innerhalb des Magen-Darm-Traktes mit einem Pfeil markiert. Was ist die Aufgabe dieser markierten Zellen?

Antwortmöglichkeiten
- (A) Sekretion von Intrinsic Factors
- (B) Sekretion von Pepsinogenen
- (C) Sekretion von Gellensalze
- (D) Sekretion von Verdauungsenzymen
- (E) Sekretion von Protonen