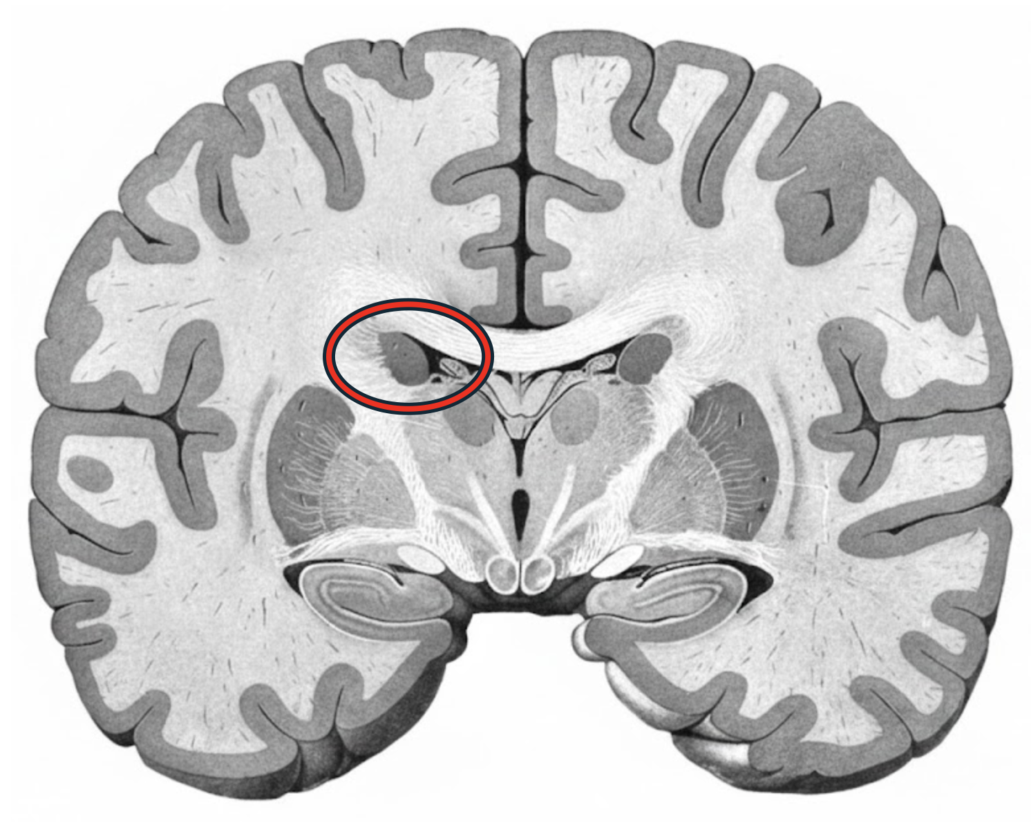
2.89 Die Darstellung zeigt ein Querschnittspräparat eines menschlichen Gehirns.

Welche anatomische Struktur ist durch die Markierung im Bild hervorgehoben?
Antwortmöglichkeiten
- (A) Hippocampus
- (B) Putamen
- (C) Amygdala
- (D) Nucleus Caudatus
- (E) Capsula Interna