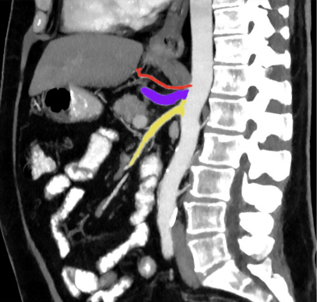
2.65 Die Abbildung zeigt einen CT-Schnitt der arteriellen Gefäße nach Kontrastmittelgabe.

Welche Arterie ist in der Abbildung rot markiert?
Antwortmöglichkeiten
- (A) A. gastrica sinistra
- (B) A. hepatica communis
- (C) A. lienalis
- (D) A. mesenterica superior
- (E) A. gastroduodenalis