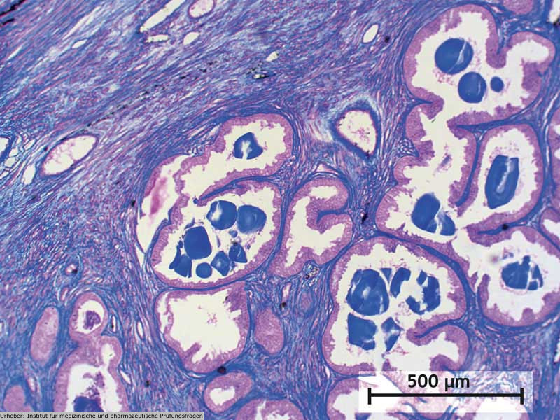
2.34 Das Foto zeigt eine Drüse im histologischen Schnittbild.

Welche Eigenschaft ist für das Sekret dieser Drüse typisch?
Antwortmöglichkeiten
- (A) Es fördert nach dem Essen die Glucoseaufnahme in die Zellen.
- (B) Es dient dazu, die Mundhöhle feucht zu halten und die Kohlenhydratverdauung zu beginnen.
- (C) Es ist verantwortlich für die Nährstoffversorgung eines Neugeborenen.
- (D) Es stellt einen signifikanten Anteil des männlichen Ejakulats dar.
- (E) Es führt zu einer Steigerung des metabolischen Grundumsatzes.