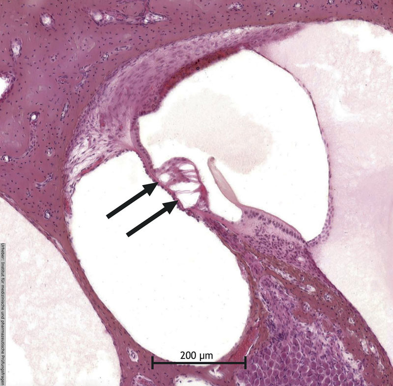
2.33 Das bereitgestellte Bild stellt einen histologischen Schnitt durch das Innenohr dar.

Um welche anatomische Struktur handelt es sich bei der mit den Pfeilen markierten Region?
Antwortmöglichkeiten
- (A) Reissner-Membran
- (B) Tektorialmembran
- (C) Basilarmembran
- (D) Lig. spirale
- (E) Stria vascularis