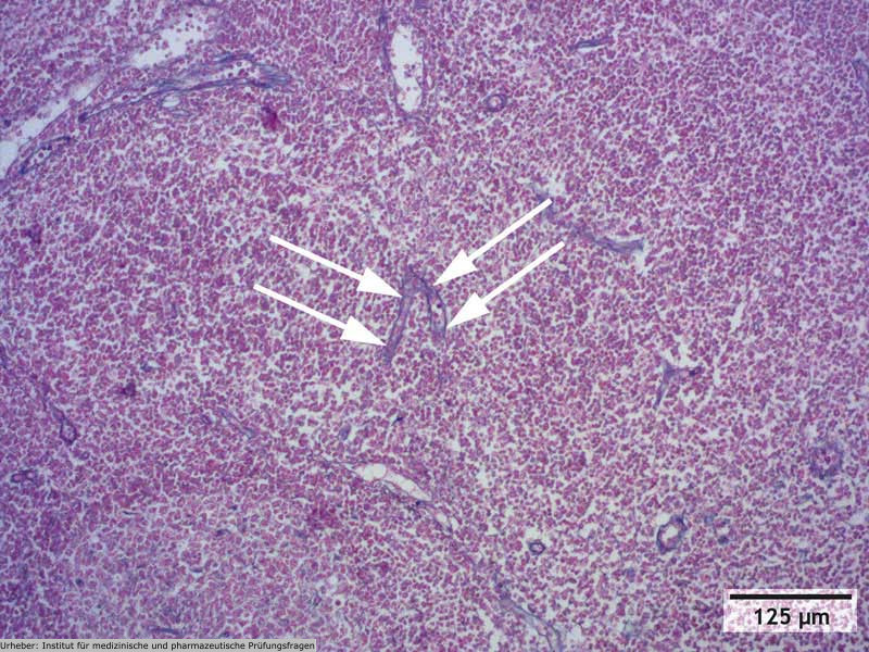
2.29 Die dargestellten Abbildungen zeigen ein lymphatisches Organ in verschiedenen Vergrößerungsstufen, wobei eine特定的 Struktur jeweils mit Pfeilen gekennzeichnet ist. In welchem der folgenden lymphatischen Organe ist das Auftreten dieser markierten Struktur am unwahrscheinlichsten?


Antwortmöglichkeiten
- (A) im Darm-assoziierten lymphatischen Gewebe (GALT)
- (B) in der Tonsilla palatina
- (C) in den Lymphknoten
- (D) in der Tonsilla pharyngea
- (E) in der Milz