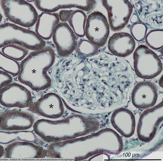
2.32 Die Abbildung zeigt einen histologischen Schnitt durch ein inneres Organ, angefärbt nach Masson‑Goldner.

Welche der folgenden Funktionen wird von den Zellen der mit einem Stern markierten Strukturen nicht ausgeübt?
Antwortmöglichkeiten
- (A) Sie sind an der Gluconeogenese beteiligt.
- (B) Sie produzieren Parathormon.
- (C) Sie resorbieren Phosphat.
- (D) Sie bilden die biologisch aktive Form von Vitamin D$_3$.
- (E) Sie nehmen Proteine durch Endozytose auf.