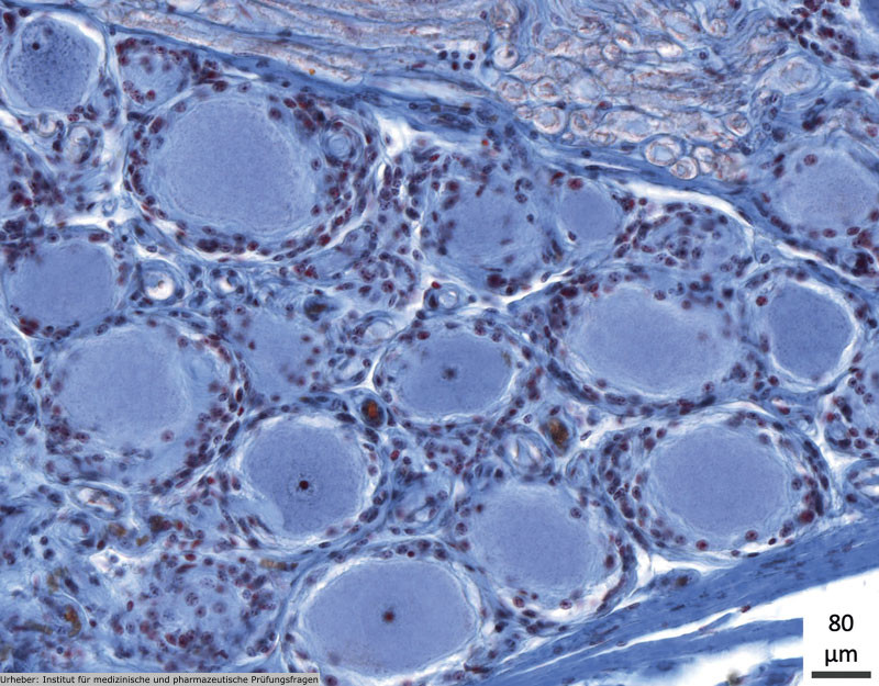
2.27 In der Abbildung ist ein histologisches Schnittbild dargestellt.

Welche charakteristische Zellart lässt sich in dem gezeigten Gewebe überwiegend nachweisen?
Antwortmöglichkeiten
- (A) Oligodendrozyten
- (B) pseudounipolare Nervenzellen
- (C) sekundäre Oozyten
- (D) glatte Muskelzellen
- (E) Follikelepithelzellen